Фото © пресс-служба Волгоградской областной детской клинической больницы
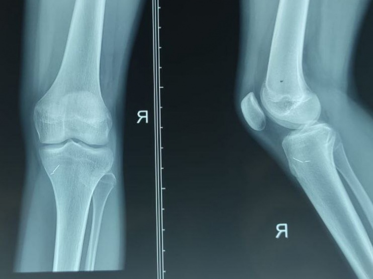
В Волгоградской области травматологи-ортопеды извлекли обломки швейных игл из коленного сустава девочки, которые находились в теле 4 года.
Как рассказали Волжский.ру в Волгоградской областной детской клинической больнице, в 10 лет девочка случайно упала на игольницу, но не сказала ничего родителям, так как боялась реакции и возможной операции. Все эти годы девочка жила с болью, которая мешала нормально двигаться. Когда боль стала невыносимой, она перестала наступать на ногу, что и заметили родители. Из районной больницы семью направили в областную клинику, где провели всестороннее обследование и успешную операцию.

Из-за длительного нахождения инородных предметов в суставе развился воспалительный процесс, что и привело к ограничению движения. Теперь девочке потребуется восстановительное лечение.

Медики призывают родителей внимательнее следить за состоянием здоровья детей.
Отображение старых комментариев отключено в целях вашей и нашей безопасности.
Добавление новых комментариев заблокировано в связи с истечением времени.

Лучший комментарий дня:
+26 Автор: буква А.
Вы видели из каких крох состоит бюджет города? ...
Худший комментарий дня:
-11 Автор: ДамскийПортной.
Спасибо за напоминание , Светлана, вопрос задан пр ...
$ 80.72
€ 94.51
На сайте Волжский.ру используются файлы cookie и сервисы веб-аналитики
Оставаясь на www.volzsky.ru, вы принимаете пользовательское соглашение